Mês: julho 2024

tartare

Cuidado Com O “Tartare” Francês Ou Carne Crua

CUIDADO COM O “TARTARE” FRANCÊS OU CARNE CRUA.   A “Tartare” francês, ou steak tartare, é um prato tradicionalmente feito…


chumbo

Proteja Seus Filhos da Exposição ao Chumbo

Apesar de regulamentações rígidas visando reduzir o envenenamento por chumbo de fontes como tinta, gasolina e canos, novos estudos revelam…


aspartame

Os Perigos do Zero Açúcar!

Os Perigos do Zero Açúcar!   Décadas de pesquisa confirmam como o aspartame prejudica sua saúde. O aspartame, um adoçante…


edc

Produtos Tóxicos de Consumo

Exposição de produtos químicos tóxicos em produtos de consumo     * Leah Segedie fundou a Mamavation para investigar produtos…


Bisfenol A

O que é o Bisfenol A (BPA)?

O que é o Bisfenol A (BPA)?   O Bisfenol A (BPA) é um composto químico amplamente utilizado na produção…


retenção de líquido

Você Não É Uma Caixa D’Água

VOCÊ NÃO É UMA CAIXA D’AGUA😩   Para reduzir o acúmulo de água no corpo, conhecido como retenção de líquidos…


beterraba

Você Odeia Beterraba?

VOCÊ ODEIA BETERRABA?   A Beterraba tem betalaína que reduz as toxinas que cercam suas células e permite que nutrientes…


vitamina b12

Vitamina B12, Você Precisa

Vitamina B12, Você Precisa   Praticamente todo mundo sabe que obter a quantidade certa de vitaminas é importante. Ocasionalmente, novas…


linhaça dourada

A Força da Linhaça

A FORÇA DA LINHAÇA ( de preferência dourada e orgânica).   As sementes de linhaça (Linum usitatissimum L.), cujo significado…


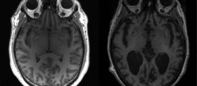
donanemabe

Donanemabe – Tratamento Para Declínio Cognitivo

O donanemabe, fabricado pela Eli Lilly, é o mais recente de uma nova classe de tratamentos que pode retardar o…


solidão

Sozinho Eu Não Fico

SOZINHO EU NÃO FICO😰   A solidão pode aumentar o risco de acidente vascular cerebral.   Um estudo recente da…


Caminhada

Vamos Dar Uma Andadinha?

VAMOS DAR UMA ANDADINHA ?   Caminhar é um exercício de baixo impacto e intensidade moderada que você pode fazer…


Busca por Artigos Golden Zone

Blue Zones

Geração Solar e Mobilidade Elétrica

Green Zones

Medicina do Estilo de Vida

Medicina Ocidental

Medicina Oriental

Metafísica

Não sabemos nem aquilo que não sabemos

Nutrigenômica e aumento da longevidade

Prevenção Real do Câncer

V+100A

Golden Zone - 2026 © Todos os direitos reservados